|

ВИНИРЫ

ПОДГОТОВИМ ВАШИ ЗУБЫ К УСТАНОВКЕ ИДЕАЛЬНЫХ ВИНИРОВ В 4 РАЗА БЫСТРЕЕ СТАНДАРТНЫХ СРОКОВ.
БЕЗ ЛИШНЕЙ ОБТОЧКИ И КОМПРОМИССОВ СО ЗДОРОВЬЕМ

ЗАПИСАТЬСЯ НА КОНСУЛЬТАЦИЮ

В 2 ГОДА

БЕЗ «РЕЖИМА ОЖИДАНИЯ»

0%
Быстро,
безболезненно
и безопасно

Доступная цена
Рассрочка без процентов
Патенты
5 российских и 3 международных патента

Гарантия
Результата лечения

ОТ ВИНИРОВ?

Вам говорят: «Сначала 2 года брекетов, потом виниры».
• Потеря времени (целых 730 дней ожидания).
• Психологический дискомфорт от долгого лечения.
• Риск сточить здоровые зубы «под пеньки», если ставить виниры на кривой ряд без подготовки.

ПОЧЕМУ МНОГИЕ ОТКАЗЫВАЮТСЯ

НАШ СЕКРЕТ— УСКОРЕННАЯ ПОДГОТОВКА

Мы объединили цифровую ортодонтию и методы стимуляции перестройки костной ткани.
«Как это работает»:
1. Digital-планирование: Видим финал до начала.
2. Акселерация: Применяем протоколы ускоренного перемещения зубов.
3. Точность: Зубы встают в идеальную позицию для минимальной обточки под виниры.
Ваш путь к улыбке: Обычный метод vs Протокол Versalign.
— лёгкая скученность
— наклон зубов
— щели
— желание минимальной обточки
Точный план определяется после диагностики и 3D-планирования.
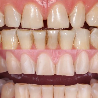
Подготовка к установке виниров
выравнивание зубов перед винирами
ЗА 4-6 МЕСЯЦЕВ

И ТЕХНОЛОГИИ

Мы не просто «двигаем зубы»
Мы используем протоколы Versalign, которые сокращают путь к винирам
без потери качества.

ЭКСПЕРТНОСТЬ

( 01 )
( 02 )
( 04 )
С предварительным выравниванием:
— Ровная анатомическая основа
— Более естественная улыбка
— Результат на долгий срок

Без предварительного выравнивания:
— Возможна большая обточка
— Коррекция формы компенсирует наклон
— Более сложная нагрузка на зубы

виниры сразу

или после подготовки?

УЖЕ В ЭТОМ СЕЗОНЕ?

и получите пошаговый план вашей «быстрой» подготовки
Запишитесь на цифровую диагностику

ГОТОВЫ УЛЫБАТЬСЯ

ОСТАЛИСЬ
Проведём консультацию и ответим на все вопросы
ВОПРОСЫ?
Москва
Благовещенский переулок 3с1
Ежедневно с 9:00 до 21:00
Запишитесь
на консультацию
И начните путь к идеальной улыбке прямо сейчас!
Мы используем файлы cookie «куки» для улучшения качества наших услуг
Хорошо